Expansión Maxilar en el paciente adulto: Técnica MARPE Y BAME

8 y 9 de mayo de 2026
Fecha
8 y 9 de mayo de 2026
Duración
Viernes 9:30 a 19:30 y Sábado 9:30 a 13:30
Precio

Socio SCOE: 725€

Colegios y Entidades Amigas: 795€

General: 875€

Plazas
Limitadas

Expansión Maxilar en el paciente adulto: Técnica MARPE Y BAME

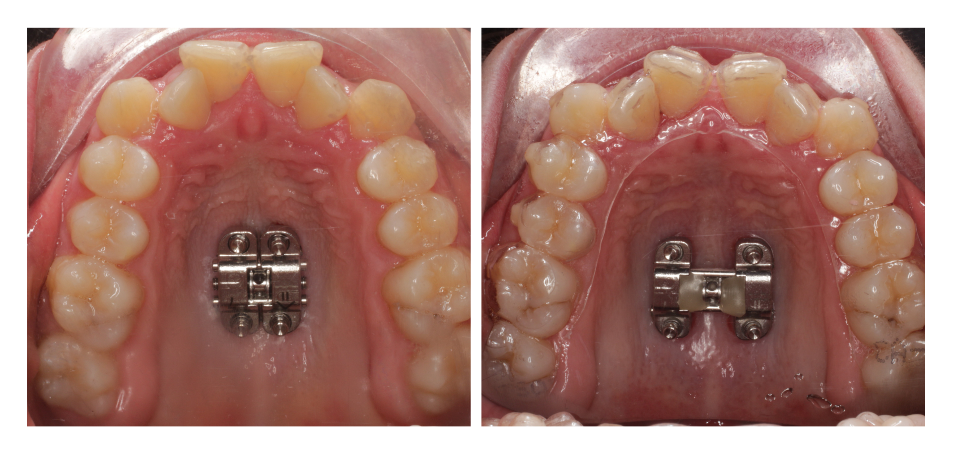
Este curso teórico práctico ofrece una visión actualizada de la expansión maxilar en adultos mediante técnicas MARPE y BAME. De la mano del Dr. Javier Echarri, aprenderás a seleccionar correctamente al paciente, interpretar CBCT, diseñar el disyuntor adecuado y aplicar el protocolo clínico paso a paso.

Incluye análisis de casos reales, manejo de complicaciones y pautas para integrar la expansión dentro del plan ortodóncico, garantizando estabilidad y resultados predecibles.

Realizaremos el caso clínico de una colocación de disyuntor en directo (Cirugía en directo)

Cada alumno se llevará el modelo y el disyuntor utilizado en la práctica.

Ponente
Dr. Javier Echarri Nicolás
Objetivos
  • Indicar correctamente un MARPE o BAME en el paciente adulto
  • Diseñar y ejecutar el protocolo clínico con criterio biomecánico
  • Interpretar CBCT para expansión esquelética
  • Integrar MARPE dentro de un plan ortodóncico avanzado
  • Minimizar riesgos y maximizar estabilidad
PROGRAMA

CONTENIDO TEÓRICO - 8 de Mayo de 9:30 a 19:30

 

1. Introducción y marco conceptual

  • Evolución histórica de la expansión maxilar en el paciente adulto
  • Limitaciones de la expansión dentoalveolar convencional
  • MARPE dentro del espectro terapéutico: ortodoncia, ortopedia y cirugía

2. Bases biológicas y anatómicas de la expansión maxilar en adultos

  • Suturas maxilares y para-maxilares
  • Cambios histológicos con la edad
  • Factores que condicionan la respuesta esquelética
  • Concepto de “resistencia estructural” del complejo maxilar

3. Diagnóstico avanzado para indicación de MARPE/BAME

  • Análisis clínico transversal
  • Diagnóstico tridimensional (CBCT): Evaluación sutural, Grosor óseo y zonas de anclaje y Riesgos periodontales
  • Indicaciones y contraindicaciones reales del MARPE/BAME
  • Diferenciación MARPE/BAME vs SARPE vs alternativas

4. Toma de decisiones clínicas

  • Criterios de selección del paciente adulto
  • Factores pronósticos de éxito
  • MARPE/BAME como tratamiento único vs tratamiento combinado
  • Integración con alineadores y aparatología fija

5. Discusión de casos clínicos (bloque interactivo)

  • Casos límite
  • Casos fallidos: análisis de causas
  • Casos bordeline quirúrgicos. 
  • Debate clínico basado en evidencia

6. Diseño y selección del disyuntor MARPE

  • Tipos de MARPE/BAME
  • Número, longitud y localización de microtornillos
  • Diseño del aparato según patrón facial y edad
  • Personalización del protocolo

7. Biomecánica de la expansión asistida por microtornillos

  • Vectores de fuerza
  • Expansión esquelética vs dentoalveolar
  • Control del tipping dentario
  • Efectos secundarios esperables y no deseables

8. Protocolo clínico paso a paso

  • Secuencia clínica completa
  • Activación: ritmo, cantidad y control
  • Signos clínicos y radiológicos de apertura sutural
  • Manejo del dolor y complicaciones

9. Integración ortodóncica post-expansión

  • Timing de la ortodoncia tras MARPE
  • Control del torque incisivo
  • Coordinación transversal de arcadas
  • Estabilidad y retención a medio y largo plazo

10. Complicaciones, errores y cómo evitarlos

  • Fallos de anclaje
  • Ausencia de apertura sutural
  • Efectos periodontales
  • Protocolos de corrección

 

CONTENIDO PRÁCTICO - 9 de Mayo de 9:30 a 13:30

 

  • Práctica de colocación de disyuntor en modelo 3D tras planificación guiada
  • Colocación de disyuntor en paciente (Cirugía en Directo) 

Dr. Javier Echarri Nicolás

  • Doctor en Ciencias de la Salud (Cum Laude) – Universidad Rey Juan Carlos.
  • Formación internacional avanzada en técnica Edgewise – Charles H. Tweed Foundation (Tucson).
  • Máster en Ortodoncia y Ortopedia Dentofacial y Diploma en Odontología Estética – Athena Dental Institute / Univ. San Jorge.
  • Grado en Odontología – Universitat Internacional de Catalunya.Práctica
  •  exclusiva en Ortodoncia desde 2016 – Athenea Dental Clinic (Barcelona).
  • Director Médico en Athenea Dental Clinic desde 2019.
  • Profesor invitado en universidades de España y Canadá.
  • Miembro de comités organizadores del International Athenea Symposium y del 8º Meeting de la WSLO.
  • Ponente en congresos internacionales en Europa, Latinoamérica y México.
  • Profesor asociado en la Asociación Iberoamericana de Ortodoncistas.
  • Autor de artículos científicos sobre MARPE, expansión maxilar, biomecánica y vías aéreas en adultos.
  • Coautor de numerosos libros y monografías sobre ortodoncia, microimplantes, tratamiento sin extracciones, biomecánica y estética dentofacial.
También Podría Interesarte
Solicita Información
Las entidades colaboradoras podrán pertenecer a los siguientes sectores de actividad:
Agua, Alimentación, Asegurador, Automoción, Belleza, Coleccionismo, Consultoría/Asesoría Legal, Editorial, Energético, Financiero/Bancario, Formación, Gran Consumo, Limpieza, Mobiliario, Ocio, ONGs, Salud, Viajes
Al enviar el formulario autorizas que la SCOE y su Fundación traten tus datos personales para: i) darte de alta ii) inscribirte a los cursos que solicites en cada momento iii) informarte sobre alquiler de salas iv) solicitar información general y v) registrarte en la newsletter. La base legítima del tratamiento de los datos recogidos a través de la web está en tu propio consentimiento. Con tu consentimiento, también podremos enviarte comunicaciones comerciales electrónicas sobre nuestros servicios. Puedes ejercitar ante nosotros, a través del correo protecciondedatos@fscoe.org, los derechos de acceso, oposición, supresión, así como el resto de los derechos reconocidos por la normativa vigente. Para más información sobre nuestra política de protección de datos consulta la información adicional.