Hipomineralización Molar: Manejo clínico de los defectos severos

29 de mayo de 2026
Fecha
29 de mayo de 2026
Duración
9:30 a 19:30
Precio

Socio SCOE: 285€

Colegios y Entidades Amigas: 315€

General: 350€ 

 

Plazas
Limitadas

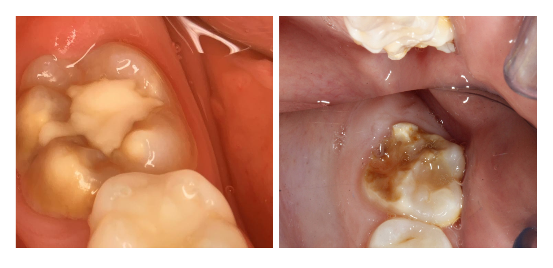
La Hipomineralización Molar (HM) representa un reto de manejo clínico para el odontopediatra. Cuando el paciente presenta defectos severos, con frecuencia surge la duda sobre cuál es la mejor forma de tratarlos.
En este curso se aborda el tratamiento del molar con HM con énfasis en mantener la integridad dentaria mediante restauraciones mínimamente invasivas, restauraciones convencionales o incrustaciones, así como el manejo quirúrgico-ortodóntico en casos severos con mal pronóstico.
Ponente
Dra. Gema Redondo
Ponente
Dra. Claudia Hahn
Ponente
Dr. Àlex Urpí
Objetivos
  • Ofrecer una guía práctica que facilite al profesional la planificación del tratamiento de molares afectados por HM.
  • Proporcionar estrategias para resolver las dificultades asociadas al manejo de grandes defectos de esmalte en pacientes pediátricos.
  • Brindar criterios para seleccionar el enfoque terapéutico más adecuado según la severidad del defecto y el pronóstico.
PROGRAMA

Bloque I: HM. Defectos severos ¿Cómo resolver casos difíciles en sus inicios? - Gema Redondo Santiago MS: Odontopediatra

  • Características clínicas
  • Consideraciones en el manejo. Control del dolor
  • Restauraciones mínimamente invasivas: Ionómeros, materiales bioactivos
  • Coronas de acero. Uso de bandas 
  • Restauraciones convencionales. Factores a tomar en cuenta para el éxito

Bloque II Protocolo de exodoncia de molares con HM en casos de mal pronóstico - Claudia Hanh Chacón. MS: Odontopediatria y Ortodoncia

  • Definición y Objetivo del protocolo
  • Factores a considerar en la toma de decisiones.
  • Momento ideal para la exodoncia del PMP superior y del PMP inferior
  • Consideraciones en casos de Clase I 
  • Consideraciones en casos de Clase II
  • Consideraciones en casos de Clase III
  • Casos con controles de larga evolución

Práctica

  • Materiales dentales para tratamientos del HIM

Bloque III. Tratamiento Restaurador a largo plazo -  Àlex Urpí. MS:Operatoria-Estética-Prótesis

  • Introducción al tratamiento restaurador con incrustaciones
  • Reconstrucción previa o build-up del molar afectado
  • Diseño y preparación
  • Impresión y provisionalización
  • Materiales
  • Cementado
  • Acabado y pulido
  • Mantenimiento

Práctica

  • Preparación de incrustación en modelo
  • Impresión y vaciado
  • Confección
  • Cementado y Acabado

Dra. Gema Redondo Santiago

  • Odontóloga por la Universidad de Barcelona, promoción 92-97
  • Master Odontopediatria Universidad de Barcelona 97-99 
  • Práctica exclusiva odontopediatría 
  • Colaboradora postgrado odontopediatría del SCOE 
  • Profesora del Curso Experto en Odontopediatria de DEAC by Proclinic
  • Profesora Colaboradora en Máster Odontopediatría en Universitat de Barcelona (UB) y en Universitat Internacional de Catalunya (UIC)

Dra. Claudia Hahn Chacón

  • Licenciada en Odontología General por la Universidad de Carabobo (UC), Venezuela, 2005.
  • Máster de Odontopediatría 2008, Máster de Ortodoncia 2013 y Máster Oficial de Investigación en Ciencias Odontológicas 2009, Universidad de Barcelona (UB), España.
  • Profesora Asociada de la Facultad de Odontología de la UB y Profesora invitada del Master de Odontopediatría y Master de Ortodoncia de la UB y del servicio Craneo-Maxilo-Facial del Hospital San Juan de Dios, Barcelona desde el 2014 hasta la actualidad.
  • Profesora del postgrado de odontopediatría de la SCOE ( desde el 2015), del Master de Ortodoncia Digital y Ortopedia de Barcelona de la PgO-UCAM (desde el 2023) y Directora del Curso de Ortodoncia Interceptiva y Funcional de DEAC by Proclinic (desde el 2019). 
  • Práctica exclusiva de Odontopediatría y Ortodoncia en la Clínica Dental Dr. Cahuana desde el 2010 hasta la actualidad. 

Dr. Àlex Urpí i Garcia

  • Licenciado en Odontología (UB)
  • Máster en Operatoria y Estética Dental (UIC)
  • Postgrados en Estética y Prótesis dental (SCOE)
  • Dictante habitual de cursos sobre rehabilitación, incrustaciones y fotografía dental.
  • Profesor: Postgrado en Prótesis dental (SCOE)
  • Profesor visitante: Master en endodoncia (UB)
  • Fundador y CEO DENTALIZE
  • Práctica privada exclusiva en restauración, estética y rehabilitación oral
Solicita Información
Las entidades colaboradoras podrán pertenecer a los siguientes sectores de actividad:
Agua, Alimentación, Asegurador, Automoción, Belleza, Coleccionismo, Consultoría/Asesoría Legal, Editorial, Energético, Financiero/Bancario, Formación, Gran Consumo, Limpieza, Mobiliario, Ocio, ONGs, Salud, Viajes
Al enviar el formulario autorizas que la SCOE y su Fundación traten tus datos personales para: i) darte de alta ii) inscribirte a los cursos que solicites en cada momento iii) informarte sobre alquiler de salas iv) solicitar información general y v) registrarte en la newsletter. La base legítima del tratamiento de los datos recogidos a través de la web está en tu propio consentimiento. Con tu consentimiento, también podremos enviarte comunicaciones comerciales electrónicas sobre nuestros servicios. Puedes ejercitar ante nosotros, a través del correo protecciondedatos@fscoe.org, los derechos de acceso, oposición, supresión, así como el resto de los derechos reconocidos por la normativa vigente. Para más información sobre nuestra política de protección de datos consulta la información adicional.