Tunelización: un enfoque global para el manejo de recesiones en dientes e implantes

13 de Junio de 2026
Fecha
13 de Junio de 2026
Duración
9:30 a 19:30
Precio

Socio FSCOE: 280€ 

Colegios y Entidades Amigas: 315€

General: 350€

Plazas
Limitadas

Tunelización: un enfoque global para el manejo de recesiones en dientes e implantes

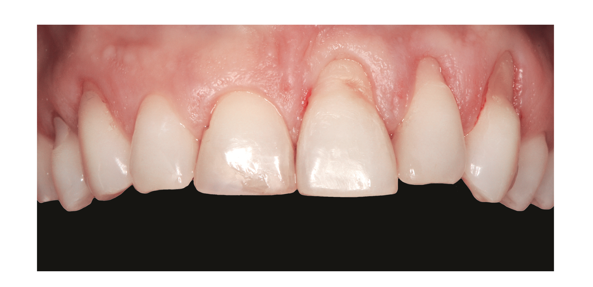
Esta formación ofrece una visión completa y actualizada de la tunelización aplicada a dientes e implantes, desde los fundamentos hasta las técnicas más innovadoras. Los participantes aprenderán nuevas estrategias de obtención y manejo de injertos, comprenderán la biología del tejido conectivo y dominarán procedimientos modernos como tunelización, microinjertos y alternativas contemporáneas a los injertos expuestos. Además, se presentarán técnicas de sutura de última generación para superar los desafíos clínicos más exigentes.
Ponente
Dr. Vincent Ronco
Objetivos
  • Aprender técnicas avanzadas de obtención y manejo de injertos de tejido blando.
  • Comprender la biología y el comportamiento clínico de los injertos de tejido conectivo.
  • Dominar los principales procedimientos de tunelización y sus variantes modernas.
  • Gestionar recesiones y pérdidas de sustancia radicular con enfoque en injertos.
  • Incorporar alternativas actuales a los injertos expuestos y nuevas técnicas de sutura para optimizar resultados.
Programa

Objetivos y descripción del curso:

  • Dominar la obtención de injertos del paladar y de la tuberosidad: nuevas técnicas de toma y protección.
  • Profundizar en la biología de los injertos de tejido conectivo y sus comportamientos clínicos posteriores.
  • Gestionar la pérdida de sustancia radicular desde una perspectiva de injerto.
  • Comprender las indicaciones de las distintas cirugías basadas en tunelización.
  • Implementar en tu práctica diaria periodontal e implantológica:

o    Procedimientos tunelización: técnica básica y últimas tendencias multilayer en maxilar y mandíbula.
o    Procedimientos con microinjertos sumergidos.
o    Procedimientos de injertos continuos sumergidos.
o    Procedimientos con injertos expuestos.
o    Alternativas contemporáneas al injerto expuesto: nuevas tendencias en injertos libres.

  • Descubrir nuevas técnicas de sutura para superar cualquier desafío clínico.

 

Dr. Vincent Ronco

  • Formación en periodoncia e implantología, París.
  • Postgrado en periodoncia, Universidad de Lieja, Bélgica.
  • Postgrado en implantología, Universidad de Lieja, Bélgica.
  • Máster en Ciencias, Universidad de París.
  • Doctorado en cirugía dental, Universidad de París.
Colaboran en esta formación
También Podría Interesarte
Solicita Información
Las entidades colaboradoras podrán pertenecer a los siguientes sectores de actividad:
Agua, Alimentación, Asegurador, Automoción, Belleza, Coleccionismo, Consultoría/Asesoría Legal, Editorial, Energético, Financiero/Bancario, Formación, Gran Consumo, Limpieza, Mobiliario, Ocio, ONGs, Salud, Viajes
Al enviar el formulario autorizas que la SCOE y su Fundación traten tus datos personales para: i) darte de alta ii) inscribirte a los cursos que solicites en cada momento iii) informarte sobre alquiler de salas iv) solicitar información general y v) registrarte en la newsletter. La base legítima del tratamiento de los datos recogidos a través de la web está en tu propio consentimiento. Con tu consentimiento, también podremos enviarte comunicaciones comerciales electrónicas sobre nuestros servicios. Puedes ejercitar ante nosotros, a través del correo protecciondedatos@fscoe.org, los derechos de acceso, oposición, supresión, así como el resto de los derechos reconocidos por la normativa vigente. Para más información sobre nuestra política de protección de datos consulta la información adicional.