Blanqueamiento Dental Clínico: Protocolos clínicos y estrategia de equipo entre odontólogo e higienista

junio 2026 - junio 2026
Fecha
12 y 13 de junio de 2026
Duración
Viernes de 16:00 a 20:00 y Sábado de 10:00 a 14:00
Precio

Una persona:

Socio SCOE: 260€

Colegios y Entidades Amigas: 290€

General: 320€

 

Dos personas:* 

Socio SCOE: 430€

Colegios y Entidades Amigas: 480€

General: 530€

Plazas
Limitadas

Blanqueamiento Dental Clínico: Protocolos clínicos y estrategia de equipo entre odontólogo e higienista

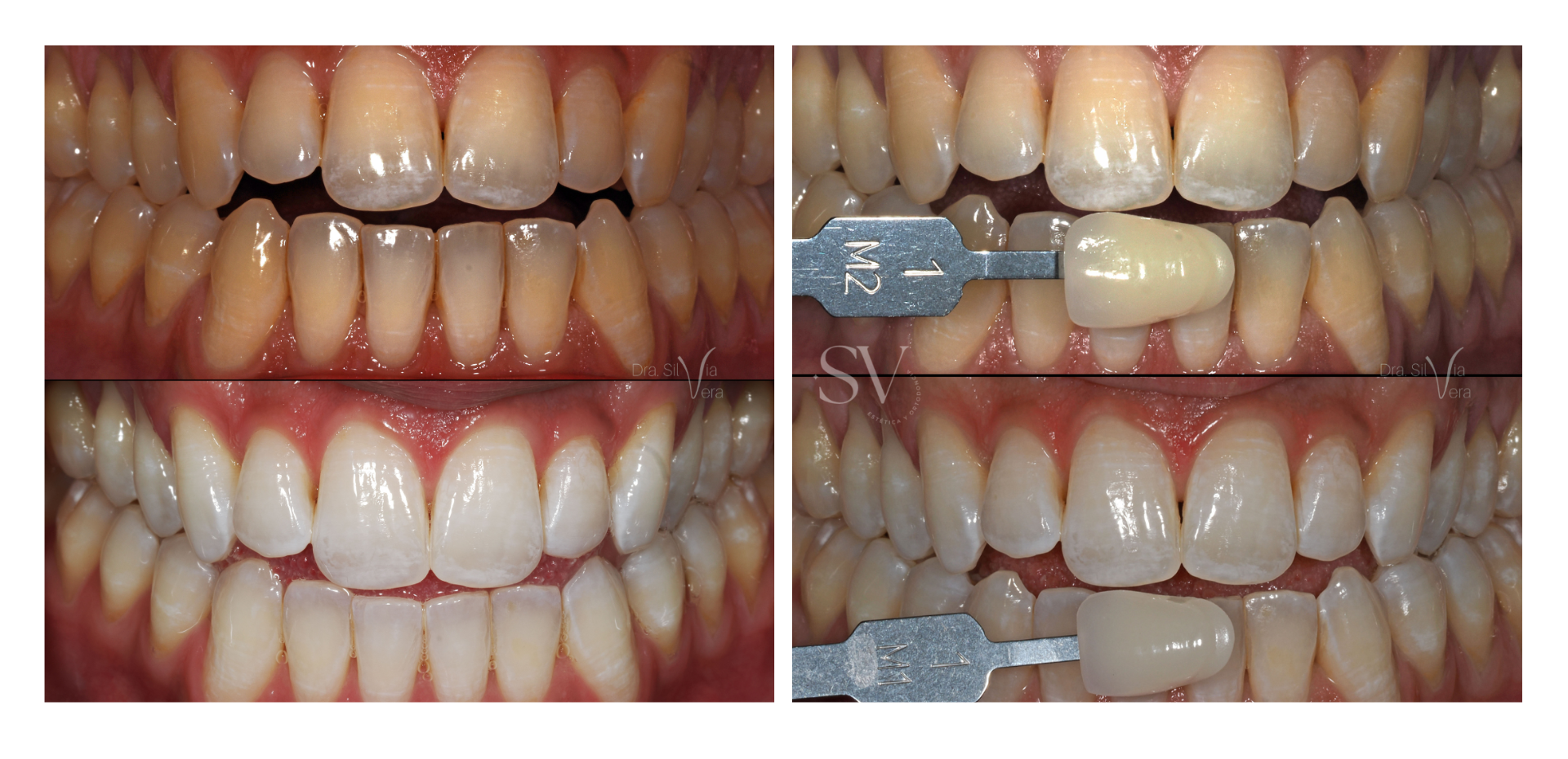
Formación teórico práctica basada en la evidencia para optimizar resultados estéticos, mejorar la coordinación clínica y aumentar el valor del blanqueamiento en la consulta. El curso impartido por la Dra. Silvia Vera está diseñado para odontólogos e higienistas que desean dominar el blanqueamiento dental desde un enfoque clínico y protocolizado.

El curso combina una tarde de contenido teórico (viernes) y una mañana de práctica clínica (sábado), abordando de forma integral todos los aspectos que intervienen en un tratamiento de blanqueamiento exitoso: fundamentos científicos, diagnóstico y planificación, protocolos clínicos y domiciliarios, manejo de sensibilidad y mantenimiento del color, comunicación eficaz con el paciente y marketing aplicado al blanqueamiento. 

 

*En el caso de asistir dos personas se debe hacer la inscripción con los datos de la primera persona (elegir la opción "dos personas") y nos pondremos en contacto para solicitar los datos de la segunda. Imprescindible trabajar en la misma clínica dental.

Ponente
Dra. Silvia Vera
Objetivos
  • Comprender la biología del color dental y los tipos de tinciones para elegir el protocolo adecuado.
  • Dominar los mecanismos de acción de los agentes blanqueadores y los factores que influyen en su eficacia.
  • Realizar un diagnóstico estético completo mediante anamnesis, fotografías y evaluación del color.
  • Aplicar correctamente los protocolos clínicos y domiciliarios garantizando preparación, aislamiento y seguridad.
  • Prevenir y manejar la sensibilidad dental con estrategias basadas en la evidencia.
  • Mejorar la coordinación clínica entre odontólogo e higienista para optimizar resultados.
  • Comunicar eficazmente con el paciente: expectativas, límites biológicos y consentimiento informado.
  • Utilizar estrategias de marketing para diferenciar la clínica y atraer nuevos pacientes a través del blanqueamiento.
PROGRAMA

VIERNES - FORMACIÓN TEÓRICA (16:00 A 20:00)

 

Introducción clínica al blanqueamiento dental

  • El blanqueamiento como punto de partida del plan estético.
  • Evolución del blanqueamiento en la odontología actual.
  • Expectativas del paciente y límites biológicos.
  • Importancia del trabajo coordinado odontólogo–higienista.

Fundamentos científicos aplicados a la clínica diaria

  • Biología del color dental.
  • Tinciones extrínsecas e intrínsecas.
  • Mecanismo de acción de los agentes blanqueantes.
  • Factores que condicionan el éxito del tratamiento.

Diagnóstico y planificación compartida

  • Anamnesis orientada a tratamientos estéticos.
  • Evaluación del color y registro fotográfico.
  • Identificación de contraindicaciones.
  • Selección del protocolo adecuado.

Protocolos clínicos y flujo de trabajo en equipo

  • Preparación previa del paciente.
  • Profilaxis y acondicionamiento previo.
  • Aislamiento y protección de tejidos blandos.
  • Protocolos en clínica y domiciliarios.

Manejo de sensibilidad y seguimiento

  • Prevención de hipersensibilidad.
  • Protocolos desensibilizantes.
  • Mantenimiento del color.

Comunicación con el paciente y consentimiento informado

  • Explicación clara del tratamiento.
  • Manejo de expectativas.
  • Consentimiento informado.
  • Integración en planes estéticos.

 

SÁBADO - FORMACIÓN PRÁCTICA Y CONCLUSIONES (10:00 A 14:00)

 

Preparación del caso clínico demostrativo

  • Evaluación inicial del paciente.
  • Registro de color y fotografía clínica.
  • Revisión del protocolo seleccionado.

Marketing inteligente para tratamientos de blanqueamiento: cómo comunicar, atraer y convertir (Dra. Marta Giménez)

  • ¿Por qué el blanqueamiento es una puerta de entrada estratégica para nuevos paciente?
  • Errores comunes al vender blanqueamientos (y cómo evitarlos).
  • Cómo diferenciarte cuando todos ofrecen lo mismo.
  • Ideas de contenidos para redes sociales y campañas que realmente convierten.
  • Qué no puede faltar en tu estrategia si quieres aumentar pacientes de estética dental

Demostración sobre paciente en directo 

  • Preparación del campo clínico.
  • Aislamiento y protección gingival.
  • Aplicación del agente blanqueante.
  • Control de tiempos y seguridad.
  • Indicaciones post-tratamiento.

Conclusiones y cierre 

  • Integración clínica del blanqueamiento.
  • Errores frecuentes.
  • Resolución de dudas.

Dra. Silvia Vera

  • Licenciada en Odontología por la Universidad Alfonso X el Sabio (2014)
  • Postgrado en estética dental por la Universidad de Barcelona (2016)
  • Máster en profesorado por universidad Alfonso X el Sabio (2018)
  • Máster en ortodoncia clínica y ortopedia de los maxilares por la Universidad de Ávila (2024)
  • Formación continuada en prótesis y estética dental y perioral con ponentes nacionales e internacionales.
  • Práctica privada en prótesis, estética dental y perioral y odontología mínimamente invasiva.
  • Ponente de cursos nacionales en Composites estéticos, blanqueamiento dental y odontología mínimamente invasiva.
  • Docente en el Grado de Higiene Bucodental.
  • Dictante de cursos en armonización Orofacial para odontólogos.
  • Miembro de sociedades odontológicas SEPES, SOCE, SEDO, SCOE y AUVBD.

Dra. Marta Giménez

  • Odontóloga y empresaria especializada en gestión y crecimiento de clínicas.
  • CEO de Clínicas MG (odontología y medicina estética).
  • Cofundadora de Clinical Media Agency, enfocada en marketing para clínicas.
  • Cofundadora de The Next Dental Academy, formación en gestión y liderazgo para odontólogos/as.
  • Experiencia previa en gestión de equipos y actividad clínica en varias clínicas privadas.
  • Formación: Odontología (UIC), Máster en Rehabilitación Oral y Estética, Postgrados en Estética (NYU) e Implantología (Dexeus).
  • Más de 10 años como formadora en gestión, estética y liderazgo.
Profesores
  • Dra. Silvia Vera
  • Dra. Marta Giménez
Colaboran en esta formación
Solicita Información
Las entidades colaboradoras podrán pertenecer a los siguientes sectores de actividad:
Agua, Alimentación, Asegurador, Automoción, Belleza, Coleccionismo, Consultoría/Asesoría Legal, Editorial, Energético, Financiero/Bancario, Formación, Gran Consumo, Limpieza, Mobiliario, Ocio, ONGs, Salud, Viajes
Al enviar el formulario autorizas que la SCOE y su Fundación traten tus datos personales para: i) darte de alta ii) inscribirte a los cursos que solicites en cada momento iii) informarte sobre alquiler de salas iv) solicitar información general y v) registrarte en la newsletter. La base legítima del tratamiento de los datos recogidos a través de la web está en tu propio consentimiento. Con tu consentimiento, también podremos enviarte comunicaciones comerciales electrónicas sobre nuestros servicios. Puedes ejercitar ante nosotros, a través del correo protecciondedatos@fscoe.org, los derechos de acceso, oposición, supresión, así como el resto de los derechos reconocidos por la normativa vigente. Para más información sobre nuestra política de protección de datos consulta la información adicional.