Curs Teòric Pràctic en Pròtesi sobre Implants

novembre 2025 - desembre 2025
Data
10, 11 i 12 de novembre / 1, 2 i 3 de desembre
Durada
Dilluns i dimarts de 9:30 a 20:30 / Dimecres de 9:30 a 14:30
Preu

Soci SCOE: 2.800 €

Col·legis i entitats amigues: 2.940 €

General: 3.100 €

Reserva de plaça: 1.000 € (inclosa en el total del curs)

Places
40

Curs Intensiu Teòric Pràctic en Pròtesi sobre Implants

Les places per a aquesta formació estan exhaurides. Sol·licita entrar a la llista d’espera en aquest enllaç i t’avisarem si hi ha alguna baixa o per a properes edicions.

Director
Dr. Ernest Mallat i Callís
Director
Dr. José María Barrachina Díez
Objectius

Curs intensiu teòric-pràctic en pròtesi sobre implants, dividit en dos mòduls:

Primer mòdul: 10, 11 i 12 de novembre
Segon mòdul: 1, 2 i 3 de desembre

PROGRAMA

Dilluns i dimarts de 9:30 a 20:30 / Dimecres de 9:30 a 14:30

Contingut teòric – Pròtesi fixa sobre implants en unitats i trams curts

  1. 1. Introducció a la implantologia:

    • Tipus d’implants

    • Tipus de connexions

    • Tipus de pròtesis

  2. 2. Què ha de saber el prostodontista sobre la part quirúrgica?

    • Implants immediats, precoços o diferits

    • Càrrega immediata, precoç i diferida

  3. 3. Principis de disseny

  4. 4. Oclusió i biomecànica

  5. 5. Provisionalització

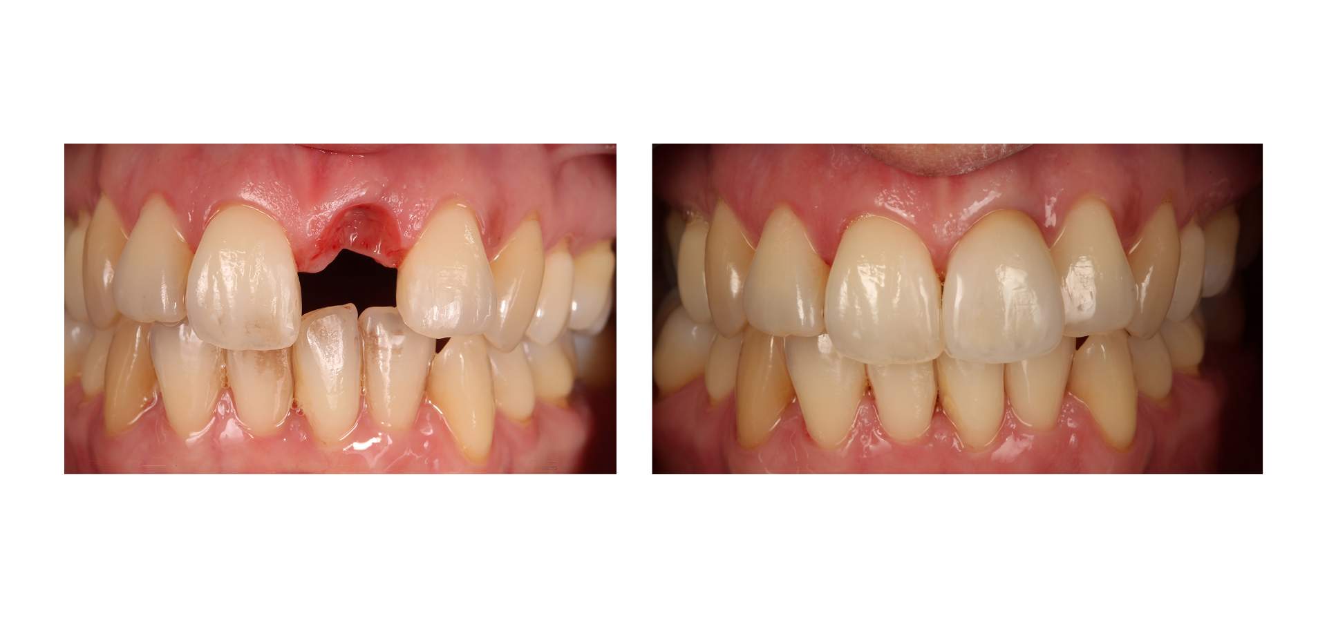
  6. 6. Càrrega immediata en unitats i trams curts anteriors

  7. 7. Protocols d’actuació en unitats i trams curts


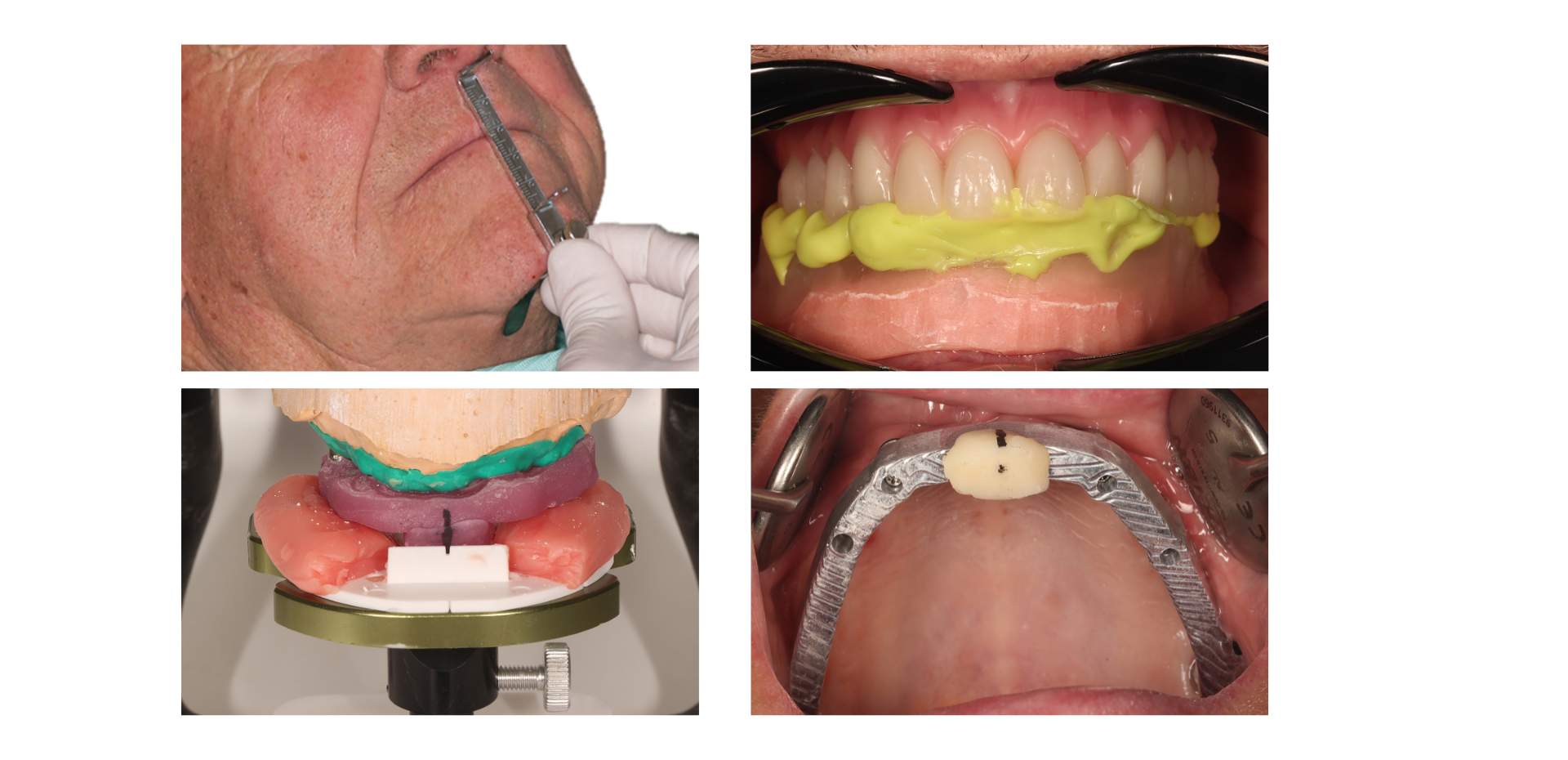
Contingut pràctic

  • Selecció de pilars en implantologia

  • Impressió analògica. Tècnica de ferulització pas a pas

  • Impressió digital

  • Confecció d’un provisional anterior, un provisional posterior i un pont posterior

Dilluns i dimarts de 9:30 a 20:30 / Dimecres de 9:30 a 14:30

Contingut teòric – Pròtesi fixa i removible sobre implants en arcades completes

  • Planificació del tractament (Pròtesi completa).

  • Importància del muntatge de dents en cera.

  • Configuració d’implants en arcades completes.

  • Quan optar per pròtesi fixa i quan per sobredentadura o pròtesi híbrida?

  • Càrrega immediata en arcades completes. Quan i com?

  • Protocols de treball en arcades completes

  • Protocols de treball en sobredentaduras

  • Complicacions biològiques i mecàniques

  • Creixement craneofacial

  • Manteniment


Contingut pràctic

  • Planificació digital d’implants: des de l’encerat digital fins a la fabricació de la guia quirúrgica

  • Pràctica de manipulació i fixació d’ancatges per sobredentaduras

  • Pràctica de provisionalització de càrrega immediata en arcades completes

Col·laboren en esta formación
Sol·licita Informació
Les entitats col·laboradores podran pertànyer als sectors d'activitat següents:
Aigua, Alimentació, Assegurador, Automoció, Bellesa, Col·leccionisme, Consultoria/Assessoria Legal, Editorial, Energètic, Financer/Bancari, Formació, Gran Consum, Neteja, Mobiliari, Oci, ONG, Salut, Viatges
En enviar el formulari autoritzes que la SCOE i la seva Fundació tractin les teves dades personals per: i) donar-te d'alta ii) inscriure't als cursos que sol·licitis en cada moment iii) informar-te sobre lloguer de sales iv) sol·licitar informació general i v) registrar-te a la newsletter. La base legítima del tractament de les dades recollides a través de la web està al teu propi consentiment. Amb el teu consentiment, també et podrem enviar comunicacions comercials electròniques sobre els nostres serveis. Podeu exercitar davant nostre, a través del correu protecciondedatos@fscoe.org, els drets d'accés, oposició, supressió, així com la resta dels drets reconeguts per la normativa vigent. Per a més informació sobre la nostra política de protecció de dades consulta la informació addicional.